Dr Pierre-Loup Cellier
Chirurgien-dentiste, fondateur du Cabinet Dentaire Mexico
Cabinet Dentaire Mexico – Paris 16ème
✓ Article vérifié par l'équipe médicale du cabinet
📅 Publié le : 8 mars 2026 | ⏱️ Temps de lecture : 9 min
Rage de dents : comment calmer la douleur rapidement

Il est 3h du matin. La douleur vous a réveillé. Impossible de vous rendormir. Vous avez l'impression qu'un marteau-piqueur s'est installé dans votre mâchoire. Si vous lisez ces lignes à cette heure-là, je vous comprends.
Je suis le Dr Pierre-Loup Cellier, chirurgien-dentiste et fondateur du Cabinet Dentaire Mexico à Paris 16. La rage de dents est l'une des douleurs les plus intenses qu'on puisse ressentir. Je reçois chaque semaine des patients épuisés, qui n'ont pas dormi depuis des jours à cause d'une dent.
Votre douleur ne passe pas ? Une rage de dents qui dure plus de 48h cache souvent un problème plus profond : carie avancée, abcès en formation ou inflammation du nerf. Plus vous attendez, plus le traitement sera lourd et coûteux. Le Cabinet Dentaire Mexico vous accueille en urgence du lundi au samedi à Paris 16ème, métro Trocadéro. | |||||||||||
Dans cet article, je vais vous expliquer comment soulager cette douleur en attendant votre rendez-vous, ce qu'il ne faut surtout pas faire, et comment nous traitons ce problème au cabinet. Mais d'abord, une information importante : une rage de dents ne passe jamais toute seule. Elle est le signe d'une infection qui nécessite un traitement.
Qu'est-ce qu'une rage de dents exactement ?
En langage médical, on parle de pulpite. C'est une inflammation de la pulpe dentaire, cette partie vivante au cœur de votre dent qui contient les nerfs et les vaisseaux sanguins.
Quand la pulpe est agressée (par une carie profonde, un traumatisme, une fissure), elle s'enflamme. Le problème ? Elle est enfermée dans un espace rigide : la dent. L'inflammation provoque un gonflement, mais comme la pulpe ne peut pas se dilater, la pression augmente sur le nerf. Résultat : une douleur atroce.
Cette douleur est souvent :
Pulsatile : vous sentez battre votre cœur dans la dent
Lancinante : par vagues, avec des pics d'intensité
Irradiante : elle peut remonter dans la mâchoire, l'oreille, la tempe
Aggravée par le chaud, le froid, le sucré
Plus forte la nuit : en position allongée, le sang afflue vers la tête et augmente la pression
Si la douleur devient constante et ne répond plus aux antidouleurs classiques, c'est que la pulpite est devenue irréversible. Le nerf est en train de mourir. Sans traitement, l'infection peut évoluer vers un abcès dentaire.
Les causes principales d'une rage de dents
Comprendre l'origine de votre douleur permet de mieux cibler le traitement. Voici les causes que je rencontre le plus souvent.
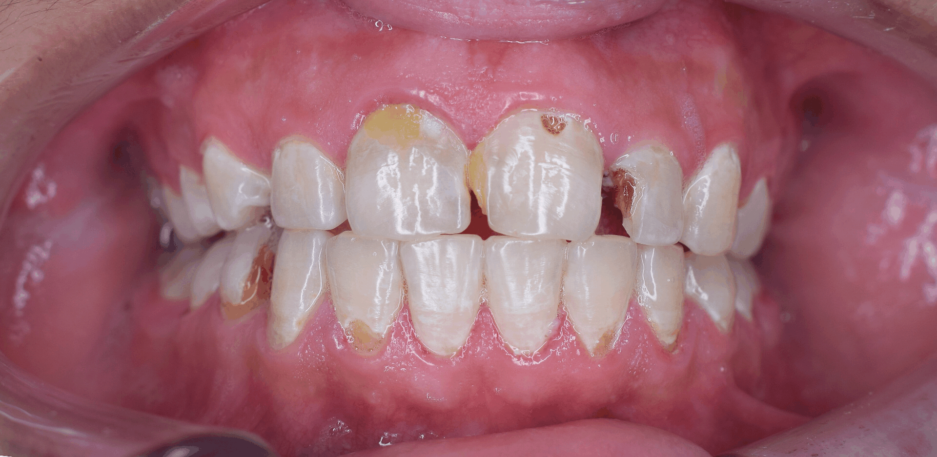
La carie profonde : cause n°1
Dans plus de 80% des cas, la rage de dents est causée par une carie dentaire qui a progressé jusqu'à la pulpe. Au début, la carie est silencieuse. Elle ne fait pas mal tant qu'elle reste dans l'émail. C'est quand elle atteint la dentine puis la pulpe que la douleur explose.
D'où l'importance de détecter les caries à un stade précoce, avant qu'elles ne provoquent des dégâts.
L'abcès dentaire
Quand l'infection dépasse la dent et atteint les tissus environnants, un abcès dentaire se forme. La douleur est alors accompagnée d'un gonflement de la joue, parfois de fièvre, et d'un goût désagréable dans la bouche. C'est une urgence qui nécessite une consultation rapide.
Un traumatisme dentaire
Un choc sur une dent (chute, accident, sport) peut fissurer l'émail ou léser directement la pulpe. Parfois, la douleur apparaît des jours ou des semaines après le traumatisme initial.
Une dent de sagesse qui pousse mal
Les dents de sagesse qui manquent de place peuvent provoquer des douleurs intenses en poussant contre les autres dents ou en s'infectant partiellement (péricoronarite).
Un soin ancien qui se complique
Une dent déjà soignée peut devenir douloureuse si une nouvelle carie se développe sous un ancien plombage, ou si une couronne se déscelle et laisse entrer des bactéries.
Comment calmer la douleur rapidement : les gestes qui marchent
Vous avez rendez-vous demain mais la douleur est là maintenant. Voici ce que vous pouvez faire en attendant.
1. Prenez un antidouleur adapté
Le paracétamol (Doliprane, Efferalgan) est le premier choix. Respectez la posologie : 1g toutes les 6 heures maximum, sans dépasser 4g par jour. Si la douleur est intense, vous pouvez associer paracétamol et ibuprofène en alternance (un toutes les 3 heures).
⚠️ Attention : l'ibuprofène (Advil, Nurofen) et autres anti-inflammatoires peuvent masquer une infection et sont déconseillés en cas d'abcès. Si votre joue est gonflée ou si vous avez de la fièvre, restez au paracétamol seul et consultez rapidement.
2. Appliquez du froid (pas du chaud !)
Placez une poche de glace enveloppée dans un linge sur la joue, côté douloureux. 15 minutes maximum, puis pause de 15 minutes. Le froid réduit l'inflammation et engourdit légèrement la zone. N'appliquez jamais de chaud : la chaleur favorise la multiplication des bactéries et aggrave le gonflement.
3. Restez en position semi-assise
La nuit, surélevez votre tête avec plusieurs oreillers. En position allongée, le sang afflue vers la tête et augmente la pression dans la dent. Beaucoup de patients remarquent que la douleur est plus supportable assis que couché.
4. Faites un bain de bouche à l'eau tiède salée
Mélangez une cuillère à café de sel dans un verre d'eau tiède. Faites des bains de bouche doux pendant 30 secondes, plusieurs fois par jour. Le sel a un effet antiseptique léger et aide à réduire l'inflammation.
5. Le clou de girofle : un remède de grand-mère qui fonctionne
Le clou de girofle contient de l'eugénol, un anesthésiant naturel utilisé depuis des siècles en dentisterie. Vous pouvez mâcher doucement un clou de girofle près de la dent douloureuse, ou appliquer une goutte d'huile essentielle de clou de girofle sur un coton que vous placez contre la dent. L'effet est temporaire mais réel.
6. Maintenez une hygiène douce
Continuez à vous brosser les dents, même la zone douloureuse, mais délicatement avec une brosse souple. L'accumulation de bactéries aggrave l'infection. Vous pouvez compléter avec un bain de bouche antiseptique (Eludril, Hextril).
Ce qu'il ne faut surtout PAS faire
Certains réflexes peuvent aggraver votre situation. Évitez absolument :
❌ Prendre des antibiotiques sans prescriptionLes antibiotiques ne soulagent pas la douleur et ne sont pas toujours nécessaires. Seul un dentiste peut évaluer si une antibiothérapie est indiquée. Une mauvaise utilisation des antibiotiques favorise les résistances bactériennes.
❌ Appliquer de l'aspirine directement sur la genciveCe "remède" circule sur internet. C'est une très mauvaise idée. L'aspirine est acide et peut brûler les tissus, créant une plaie douloureuse en plus de votre rage de dents.
❌ Percer un abcès vous-mêmeJamais. Vous risquez de propager l'infection, de vous blesser, et de compliquer le travail du dentiste ensuite.
❌ Ignorer la douleur en espérant qu'elle passeUne rage de dents ne guérit pas spontanément. Elle peut s'atténuer temporairement (quand le nerf meurt), mais l'infection continue de progresser silencieusement.
❌ Consommer de l'alcool pour "anesthésier"L'alcool n'a pas d'effet analgésique réel et peut interagir dangereusement avec les médicaments.
Quand consulter en urgence ?
Toute rage de dents justifie une consultation rapide. Mais certains signes indiquent une urgence absolue :
Fièvre (supérieure à 38°C)
Gonflement important de la joue ou du cou
Difficulté à ouvrir la bouche (trismus)
Difficulté à avaler ou à respirer
Douleur qui ne répond plus aux antidouleurs
Écoulement de pus dans la bouche
Ces signes peuvent indiquer un abcès dentaire qui se propage. Dans les cas graves, une infection dentaire non traitée peut entraîner une cellulite faciale ou une septicémie. N'attendez pas.
Le Cabinet Dentaire Mexico accueille les urgences dentaires 7 jours sur 7, y compris le dimanche. Si vous souffrez d'une rage de dents, nous pouvons vous recevoir rapidement.
Comment je traite une rage de dents au cabinet
Quand vous venez me voir pour une rage de dents, l'objectif immédiat est de vous soulager. Voici ce qui se passe généralement.
Le diagnostic
Je commence par un examen clinique et une radiographie pour identifier la dent responsable et évaluer l'étendue du problème. Parfois, la douleur irradie tellement qu'il est difficile de savoir quelle dent est en cause. La radio permet de voir l'invisible : carie sous un plombage, infection à la racine, abcès...
Le traitement d'urgence : vous soulager
La priorité est de diminuer la pression dans la dent. Sous anesthésie locale (vous ne sentirez rien), j'ouvre la chambre pulpaire pour permettre au pus ou au gaz de s'échapper. Le soulagement est souvent immédiat et spectaculaire.
Le traitement définitif
Selon la situation, plusieurs options sont possibles :
• Traitement de canal (dévitalisation) : Si le nerf est mort ou irréversiblement atteint, je retire la pulpe infectée, je nettoie et désinfecte les canaux, puis je les obture. La dent est conservée mais "morte". Elle pourra ensuite être restaurée avec une couronne.
• Drainage d'abcès : Si un abcès s'est formé, je le draine pour évacuer le pus. Des antibiotiques peuvent être prescrits en complément. En savoir plus sur le traitement des abcès dentaires.
• Extraction : Dans certains cas (dent trop abîmée, fracture verticale, infection sévère), l'extraction reste la meilleure solution. Nous discutons ensuite des options de remplacement (implant, bridge).
Comment éviter d'avoir une rage de dents ?
La meilleure rage de dents est celle qui n'arrive jamais. Voici comment vous protéger.
Brossage et fil dentaire : la base
Deux brossages par jour minimum (matin et soir), pendant 2 minutes, avec un dentifrice fluoré. Le fil dentaire ou les brossettes interdentaires une fois par jour pour nettoyer là où la brosse ne passe pas.
Visites régulières chez le dentiste
Un contrôle annuel minimum permet de détecter les caries à un stade précoce, bien avant qu'elles ne provoquent des douleurs. Un détartrage régulier complète cette prévention.
Limitez le sucre
Les bactéries responsables des caries se nourrissent de sucre. Réduisez les grignotages sucrés entre les repas et évitez les sodas. Si vous consommez du sucre, brossez-vous les dents rapidement après.
Ne négligez pas les petites sensibilités
Une sensibilité au froid ou au chaud est souvent le premier signe d'une carie. N'attendez pas qu'elle se transforme en rage de dents. Consultez dès les premiers symptômes.
Questions fréquentes
"Combien de temps dure une rage de dents sans traitement ?"
La douleur aiguë peut durer plusieurs jours, parfois une semaine ou plus. Elle peut s'atténuer quand le nerf meurt, mais attention : l'infection continue de se propager silencieusement. Une rage de dents "qui passe toute seule" est en réalité une infection qui évolue vers un abcès. Ne prenez pas ce risque.
"Le paracétamol ne me soulage plus, que faire ?"
C'est le signe d'une pulpite irréversible. Le nerf est très enflammé ou en train de mourir. À ce stade, seule l'intervention du dentiste peut vous soulager. Contactez un cabinet d'urgence ou présentez-vous aux urgences dentaires.
"Est-ce qu'on peut me soulager le jour même ?"
Oui. Au Cabinet Dentaire Mexico, nous gardons des créneaux pour les urgences. Le traitement d'urgence (ouverture de la dent, drainage) apporte généralement un soulagement immédiat. Le traitement définitif peut parfois être réalisé dans la foulée ou programmé sur un autre rendez-vous selon la complexité.
"Pourquoi la douleur est-elle pire la nuit ?"
En position allongée, le sang afflue davantage vers la tête, ce qui augmente la pression dans la dent enflammée. C'est aussi la nuit que vous êtes moins distrait, donc plus focalisé sur la douleur. Surélevez votre tête avec plusieurs oreillers pour atténuer cet effet.
"Je peux venir un dimanche ?"
Oui. Le Cabinet Dentaire Mexico ouvre le dimanche pour les urgences dentaires. Prenez rendez-vous sur Doctolib ou appelez-nous. Une rage de dents n'attend pas le lundi.
Vous souffrez d'une rage de dents ?
N'attendez pas que la douleur devienne insupportable. Plus tôt vous consultez, plus simple sera le traitement.
👉 Prendre rendez-vous en urgence sur Doctolib
📞 Ou appelez-nous : 01 45 05 04 04
Ouvert 7j/7 • Urgences le dimanche
À très bientôt,
Dr Pierre-Loup Cellier
Avertissement : Cet article fournit des informations générales sur la rage de dents. Chaque situation est unique et nécessite un examen clinique pour un diagnostic précis et un traitement adapté. En cas de douleur dentaire intense, consultez rapidement un chirurgien-dentiste.
Pour aller plus loin
• Carie dentaire : tout ce que vous devez savoir
• Abcès dentaire : que faire quand la joue gonfle ?
• En combien de temps une carie s'aggrave-t-elle ?
• Conseils pour soulager un abcès dentaire
• En combien de temps disparaît un abcès dentaire ?
Sources
1. Haute Autorité de Santé (HAS) – Recommandations pour la prise en charge des douleurs dentaires2. Association Dentaire Française – La pulpite : prévention et traitement3. Ameli.fr – Traitement en cas de douleurs dentaires4. Manuel MSD – Mal de dents, causes et traitements
Cet article a été rédigé avec l'aide d'outils d'intelligence artificielle et relu par l'équipe médicale du cabinet.
Dr Pierre-Loup Cellier
Cabinet Dentaire Mexico
6 Place de Mexico, 75116 Paris
Métro Trocadéro (lignes 6 et 9)
Tél : 01 45 05 04 04
Ouvert du lundi au samedi de 9h à 20h
Dimanche : urgences dentaires sur rendez-vous